Search Videos and More

Showing 13 - 24 of 24 results

Previous| 1 | 2 |Next


Patellofemoral Instability in the Skeletally Immature Athlete Course

Patellofemoral Instability in the Skeletally Immature Athlete

1.00 CME Credit Available | John E. Tis, MD, is a specialist in pediatric orthopedics and sports medicine. He is one of the few fellowship-trained pediatric orthopedic surgeons, board-certified by the American Board of Orthopaedic Surgery in Sports Medicine.
Adolescent Knee Pain: Etiologies, Pathoanatomy and Treatment Considerations from a Primary Care Perspective Course

Adolescent Knee Pain: Etiologies, Pathoanatomy and Treatment Considerations from a Primary Care Perspective

1.00 CME Credit Available | Review the etiologies of knee pain in adolescents, discuss physical exam clues, diagnostic imaging and treatment options from a primary care perspective.
Contemporary Management of Rotator Cuff Tears Course

Contemporary Management of Rotator Cuff Tears

1.00 CME Credit Available | Speaker Charles Wang, MD
Sports Related Concussion 2024 Update Course

Sports Related Concussion 2024 Update

1.00 CME Credit Available | Help practitioners define, diagnose, and treat sports related concussions based on the latest evidence
ACL Surgery and the Power of Anterolateral Reconstruction to Decrease Recurrence Risk Course

ACL Surgery and the Power of Anterolateral Reconstruction to Decrease Recurrence Risk

1.00 CME Credit Available | Advances in techniques designed to support ACL reconstructions and help prevent recurrent injuries
Elbow Instability in the Throwing Athlete: Tommy John Light Surgery and Modern Variations on the Technique Course

Elbow Instability in the Throwing Athlete: Tommy John Light Surgery and Modern Variations on the Technique

1.00 CME Credit Available | Describe the indications and recent advances in treatment options for ulnar collateral ligament injuries of the elbow in athletes
Shoulder Instability, my Approach to Diagnosis and Treatment Course

Shoulder Instability, my Approach to Diagnosis and Treatment

1.00 CME Credit Available | A pragmatic approach to the anatomy and pathophysiology pathophysiology involved in shoulder instability.
Musculoskeletal Tumors Masquerading as Sports Medicine Injuries Course

Musculoskeletal Tumors Masquerading as Sports Medicine Injuries

1.00 CME Credit Available | James Wittig, MD | Orthopedic Oncology, Orthopedic Surgery
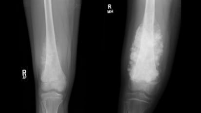
Case Report at Atlantic Health: Saving a Child's Limb with Expandable Prosthesis News

Case Report at Atlantic Health: Saving a Child's Limb with Expandable Prosthesis

An 8-year-old otherwise healthy boy presented to James C. Wittig, MD with a limp and pain and swelling around his knee. There was no history of trauma. Mom stated that she took him to the emergency room 6 months prior for a limp. 
Flexibility Restored: The Promise of Vertebral Body Tethering for Scoliosis Patients News

Flexibility Restored: The Promise of Vertebral Body Tethering for Scoliosis Patients

Morristown Medical Center’s Orthopedic Department is revolutionizing scoliosis treatment by offering patients an innovative technique to surgery known as Vertebral Body Tethering (VBT).
VBT Tether Procedure Video

VBT Tether Procedure

Adult and Pediatric Spine and Scoliosis Surgeon, Jason E Lowenstein, MD, of Morristown Medical Center, discusses an innovative technique to treating scoliosis. Vertebral Body Tethering (VBT) offers a flexible alternative to traditional spinal fusion.
Morristown Medical Center Nationally Acclaimed Orthopedics Document

Morristown Medical Center Nationally Acclaimed Orthopedics

Morristown Medical Center, #26 Orthopedic Program in the Nation by U.S. News & World Report

Showing 13 - 24 of 24 results

Previous| 1 | 2 |Next